We've moved to a larger location on Chatsworth and Lindley - Get directions here
15 years of Trusted 5-star reviews specializing in Kids Dentistry and Orthodontics for all ages.
Now also offering general dentistry for adults!
-
Granada Hills :
(818) 360-2131
-
ChatSworth :
(818) 739-0182
Serving Granada Hills since 2008 and Chatsworth since 2020
Book Now
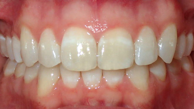
The Advantage of Invisalign ® over Metal Braces
Invisalign braces are smooth plastic aligners that gradually straighten teeth without the need for metal brackets or wires. Like traditional braces, Invisalign effectively treats a wide range of dental problems, such as crooked or crowded teeth, gapped teeth, or misaligned bites. The clear plastic trays are customized to fit each patient’s distinct smile and gently shift teeth into place, offering greater comfort throughout the treatment process compared to metal braces. Invisalign wearers also require fewer office visits and experience fewer restrictions than those wearing traditional metal braces, making them the clear choice to achieve a beautiful smile.
Video Testimonials
Patient Transformations
Explore the inspiring transformations our patients have
experienced through modern and traditional orthodontic
treatment plans at TLC for Smiles.
As Seen On

Achieve your healthiest, straightest smile all at one office with TLC for Smiles.
Our kind and highly-trained staff are committed to providing your family with
personalized, professional, affordable dentistry and orthodontics.
Here's what our clients are saying about our clinic:

They really know what they're doing here. They make sure to keep you feeling safe. I've seen many kids who don't like the dentist become calm because of their kindness and approach. I'm very grateful to Khaled for taking care of me extremely well. Highly recommended.
Isa Tristan
GoogleThis office is wonderful. They were so good with my 2 year old. She started with her hand over her mouth and by the end she was showing them how she brushes and let them examine her. I would absolutely recommend them for small children.
Christine Gregorchuk
GoogleSuper friendly staff. June did such an amazing job at working with my crying son. The Dentist works so well with kids and is very professional. Loved the experience and would recommend to everyone. Also, my son loved the play room and all the little gifts he received.
Janet Quintero
GoogleWe Love TLC FOR SMILES!!! Excellent service !!Staff is Amazing and friendly!! So happy we are a part of TLC! Our daughter is 8 yrs old and she is always happy to visit!! Come on in and see for yourself you will never want to visit another dental office!! Make TlC for Smiles your family’s favorita dentist!!!
Maureen Munoz
GoogleThey did a great job. They catered to my hectic schedule including having to fly from out of state. The staff is full of kind, quality people. They always kept me in the loop regarding what stage of the process I was on. They were super fast also! I really would recommend this place to friends and family.
Joshua Huddleston
GoogleThe whole staff is friendly, patient, and understanding with kids. They are very explicit before doing anything about describing the tools they will be using. My daughter had X-rays for the first time and it was a positive experience. Definitely recommend this office!
Emonica Dantas
GoogleI have already taken my son here and had a wonderful experience! I brought my daughter in yesterday and again the doctor the assistance and the front office are all so friendly and helpful. This is a wonderful place to bring your children to for dental care.
Earthy Mama
GoogleTLC for Smiles
Mon9:00am - 6:00pm
Tue9:00am - 6:00pm
Wed9:00am - 6:00pm
Thu9:00am - 6:00pm
Fri9:00am - 6:00pm
Sat8:00am - 2:00pm
Sat Pediatric & Ortho patients only
TLC for Smiles
Mon9:00am - 6:00pm
TueClosed
Wed9:00am - 6:00pm
Thu9:00am - 6:00pm
Fri9:00am - 6:00pm
Sat8:00am - 2:00pm
Sat Pediatric & Ortho patients only


















My daughters love coming here for their dental needs. The staff is super friendly and the dentist are very gentle and warm. I recommend this establishment to anyone who ask fam, friends, coworkers and anyone who ask for a pediatric dentistry
Lupe Vasquez
Google